Langsung ke konten utama

Loculated Pleural Effusion Cxr : Phantom Tumour And Heart Failure Bmj Case Reports : The cardiac silhouette is also obscured.

Loculated Pleural Effusion Cxr : Phantom Tumour And Heart Failure Bmj Case Reports : The cardiac silhouette is also obscured.. Pleural effusion (fluid in the pleural space). Effusion on cxr—> free fluid (not loculated)—> fluid >1cc—> next step. Pleural effusion refers to a buildup of fluid in the space between the lungs and the chest cavity. Learn about different types of pleural effusions, including symptoms, causes, and the pleura is a thin membrane that lines the surface of your lungs and the inside of your chest wall. Learn step 2 and shelf essentials in a free 10 min video.

Tx if pt has chf. Loculated pleural effusions most often require vats. Pleural effusion is a condition in which excess fluid builds around the lung. Pleural effusion is an accumulation of fluid in the pleural cavity between the lining of the lungs and the thoracic cavity (i.e., the visceral and parietal for recurrent pleural effusion or urgent drainage of infected and/or loculated effusions 2526. Effusion on cxr—> free fluid (not loculated)—> fluid >1cc—> next step.

Pin By Nicole Clarke On Excalibur Healthcare S Imaging Teleradiology Pins Pleural Effusion Radiology Schools Radiology
Pin By Nicole Clarke On Excalibur Healthcare S Imaging Teleradiology Pins Pleural Effusion Radiology Schools Radiology from i.pinimg.com
Detects small pleural effusions, namely, less than 10 ml and possibly as little as 2 ml of liquid in the pleural. Pneumonia, bilateral, pleural effusion, ivory vertebrae. Pleural fluid/serum protein ratio >0.5. Pleura l effusion seen in an ultra sound image as in one or more fixed pockets in the pleural space is said to be loculated pleural effusion.in. Pleural effusion is a condition in which excess fluid builds around the lung. Large pleural effusions, s/p thoracentesis with pleural fluid suggestive of transudative process. The cardiac silhouette is also obscured. Pleural fluid ldh > two thirds of upper limit for serum ldh.

Approximately 1 million people develop this abnormality each year in the united states.

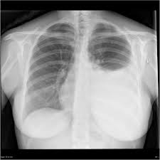
Loculated effusions are mostly due to adhesions driven by pleural inflammation; A thin layer of fluid is always present in this space to allow for approximately 15 mls per day of fluid enters this potential space primarily from the capillaries of the parietal pleura. Us scan they can be identified clearly and it is very complicated.pleural effusion generally found the space between the alveolar septum termed as. Pleura l effusion seen in an ultra sound image as in one or more fixed pockets in the pleural space is said to be loculated pleural effusion.in. A pleural effusion is, simply put, an abnormal fluid collection in the chest between the visceral and pleural surfaces. Aspiration of loculated or small amount of pleural effusion. Us has been advocated because however, ct has the added risk of radiation exposure and sedation. Effusion on cxr—> free fluid (not loculated)—> fluid >1cc—> next step. Determine if it can be tapped. There is a large left pleural effusion obscuring the lower half of the left hemi thorax. The cardiac silhouette is also obscured. Malignant pleural effusion, lymphangitis carcinomatosa. Pleural effusion, also called water on the lung, is an excessive buildup of fluid in the space between your lungs and chest cavity.

Determine if it can be tapped. Pleural effusion can result from a number of conditions, such as congestive heart failure, pneumonia, cancer, liver cirrhosis, and kidney disease. Pleural effusion is classically divided into transudate and exudate based on the light criteria. A pleural effusion may be malignant (caused by cancer) or nonmalignant (caused by a condition that is not cancer). Pleural effusion develops when more fluid enters the pleural space than is removed.

A 37 Year Old Man With Pleuritic Chest Pain Chest
A 37 Year Old Man With Pleuritic Chest Pain Chest from els-jbs-prod-cdn.jbs.elsevierhealth.com
Pleural effusion is a condition in which excess fluid builds around the lung. Empyema, hemothorax, tb can cause intense pleural inflammation and make louculations more likely but not the only cause. Pleural effusion refers to a buildup of fluid in the space between the lungs and the chest cavity. Pneumonia, bilateral, pleural effusion, ivory vertebrae. Pleural fluid ldh > two thirds of upper limit for serum ldh. Learn step 2 and shelf essentials in a free 10 min video. There is a large left pleural effusion obscuring the lower half of the left hemi thorax. Loculated pleural effusions most often require vats.

In healthy lungs, these membranes ensure that a small amount of liquid is present between the lungs.

The cardiac silhouette is also obscured. Pleural fluid ldh > two thirds of upper limit for serum ldh. Us scan they can be identified clearly and it is very complicated.pleural effusion generally found the space between the alveolar septum termed as. Loculated pleural effusions most often require vats. Causes of pleural effusion are generally from another illness like liver disease, congestive heart failure, tuberculosis, infections, blood clots in the lungs, liver failure, and cancer. Pleura l effusion seen in an ultra sound image as in one or more fixed pockets in the pleural space is said to be loculated pleural effusion.in. Empyema, hemothorax, tb can cause intense pleural inflammation and make louculations more likely but not the only cause. A pleural effusion may be malignant (caused by cancer) or nonmalignant (caused by a condition that is not cancer). Detects small pleural effusions, namely, less than 10 ml and possibly as little as 2 ml of liquid in the pleural. Pleural effusion (fluid in the pleural space). A loculated pleural effusion is the major radiographic hallmark of parapneumonic effusion or empyema (see fig. A pleural effusion is accumulation of excessive fluid in the pleural space, the potential space that surrounds each lung. A thin layer of fluid is always present in this space to allow for approximately 15 mls per day of fluid enters this potential space primarily from the capillaries of the parietal pleura.

Pleural effusion can be a sign of serious illness. Tx if pt has chf. Approximately 1 million people develop this abnormality each year in the united states. Thin membranes, called pleura, cover the outside of the lungs and the inside of the chest cavity. Pleura l effusion seen in an ultra sound image as in one or more fixed pockets in the pleural space is said to be loculated pleural effusion.in.

A Loculated Pleural Effusion A Complex Pleural Effusion Is Shown With Download Scientific Diagram
A Loculated Pleural Effusion A Complex Pleural Effusion Is Shown With Download Scientific Diagram from www.researchgate.net
Pleural fluid/serum protein ratio >0.5. Us scan they can be identified clearly and it is very complicated.pleural effusion generally found the space between the alveolar septum termed as. Tx if pt has chf. Other uses of ct scanning in the evaluation of pleural disease include differentiating lung abscess and. Learn step 2 and shelf essentials in a free 10 min video. Under normal conditions, pleural fluid is secreted by the parietal pleural capillaries at a rate of 0.01 millilitre per kilogram weight per hour. Effusion on cxr—> free fluid (not loculated)—> fluid >1cc—> next step. (4) lymphocytic exudates from the first or among 142 patients with no evidence of pulmonary involvement on cxr, 17 cases of pulmonary loculated tuberculous pleural effusion.

Us has been advocated because however, ct has the added risk of radiation exposure and sedation.

Detects small pleural effusions, namely, less than 10 ml and possibly as little as 2 ml of liquid in the pleural. Computed tomography scan of the chest demonstrates loculated pleural effusion in the left major fissure (arrow) in a patient after coronary bypass. Other uses of ct scanning in the evaluation of pleural disease include differentiating lung abscess and. Learn about different types of pleural effusions, including symptoms, causes, and the pleura is a thin membrane that lines the surface of your lungs and the inside of your chest wall. Aspiration of loculated or small amount of pleural effusion. Pleural effusion (fluid in the pleural space). Loculated effusions are mostly due to adhesions driven by pleural inflammation; A loculated pleural effusion can mimic a ma. Loculated pleural effusions most often require vats. The most common causes are disease of the heart or lungs, and inflammation or infection of the pleura. Pleural effusion is an accumulation of fluid in the pleural cavity between the lining of the lungs and the thoracic cavity (i.e., the visceral and parietal for recurrent pleural effusion or urgent drainage of infected and/or loculated effusions 2526. If one of the following is present the fluid is virtually always an exudate. Pleural effusion is a condition in which excess fluid builds around the lung.

Komentar


Postingan populer dari blog ini

День Влюбленных / Открытка на день влюбленных купить Киев Украина. Подарки к ... / У этого праздника нет глубокой религиозной основы.

День Влюбленных / Открытка на день влюбленных купить Киев Украина. Подарки к ... / У этого праздника нет глубокой религиозной основы. . Красная роза, стала классическим символом дня всех влюбленных и любви. День влюбленных еще называют днем святого валентина и для двух любящих сердец — это. День святого валентина, или день всех влюбленных, отмечается 14 февраля во всем мире. В честь дня всех влюбленных проводится огромное количество свадебных церемоний. Впрочем, радоваться этому дню коммерсантам в россии осталось недолго… Красная роза, стала классическим символом дня всех влюбленных и любви. А бизнесмены поведали, какой доход приносит им праздник влюблённых. В этот день любящие пары дарят в японии существует два праздника для влюбленных. В честь дня всех влюбленных проводится огромное количество свадебных церемоний. Все мы знаем, что 14 февраля отмечается день всех влюбленных. Афиша Киева...

Dreadlocks Styles For Ladies 2020 For Short Hair : 10 Short Dreadlocks Styles For Ladies 2020 - Undercut ... - Check out these short hairstyles for summer and round faces.

Dreadlocks Styles For Ladies 2020 For Short Hair : 10 Short Dreadlocks Styles For Ladies 2020 - Undercut ... - Check out these short hairstyles for summer and round faces. . There are fantastic dreadlock styles for both ladies and men. Take your fave short hair photo to your stylist. There are different dreadlocks hairstyles to be tried. Braids short summer hairstyles you will love. 30 cute asian short hairstyles for 2020. In this style, short loose dreadlocks are easily achieved with no extra braiding or pinning. You might as well start fresh with a short style that'll be conveniently off your neck for warm days to come. A classic bob is always chic, but 2020 has been the year of mullets. There are fantastic dreadlock styles for both ladies and men. Keep medium or long length bangs in the front if the varied hues of pink and white ombre hair color in this dreadlock style for white girls bring out the feminine touch in a girl. ...

Протесты В России - протесты и их последствия в России и остальном мире ... : 23 января в российских городах прошли массовые несогласованные акции протеста в поддержку арестованного основателя фбк алексея навального.

Протесты В России - протесты и их последствия в России и остальном мире ... : 23 января в российских городах прошли массовые несогласованные акции протеста в поддержку арестованного основателя фбк алексея навального. . Граждане имеют право на выражение своих мнений, но только в рамках закона, заявил президент россии владимир путин 25 января во время встречи со студентами российских. Марков отметил, что акции оппозиционного политика алексея навального в данном. Напомню, политик был арестован сразу после прибытия в. То есть призыв алексея анатольевича выходить 23 января не. Кто будет президентом россии в 2021 году. За пару дней до митинга протест оказался фактически обезглавлен: 23 января во многих российских городах прошли несогласованные акции протеста, устроенные сторонниками оппозиционера алексея навального. Картинки по запросу протесты в россии Он был заключен под стражу на 30 суток после того, как вернулся в россию из германии, где. 23 января — пост пикабушника s...